添加時間:2025-05-16 11:43 瀏覽次數: 來源:
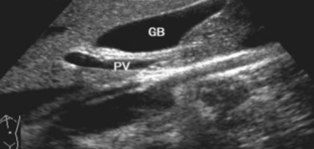
一、正常膽囊超聲圖像有的時候經常發現檢查不到膽囊,其實有幾種可能性,檢查人員的技術不過關沒發現膽囊,就要找上級醫生會診,如果還是沒找到的話就不是技術問題。結石或腫瘤充滿膽囊,使其液腔消失,慢性膽囊炎使得膽囊萎縮或膽囊壁肥厚而囊腔消失患者已進食,膽囊處于膽汁排空的狀態,膽囊先天性過小或缺失;膽囊位置極端異常(可能很低或位于左側)膽囊切除術后(注意詢問病史)。


聯系人:13922709440 余先生
固 話:86-020-86059537
服務熱線:400-800-8232
郵 箱:xianhao266@163.com
公 司:廣州市顯浩醫療設備股份有限公司
廣州總部地址:廣州市黃埔區開源大道188號十三棟1301室
湖北公司地址:湖北省鐘祥市經濟開發區協企聯盟園區C6、C7棟